중심단어
Aorta injury, endovascular treatment, stent-graft
한글 초록
거짓동맥류나 파열과 같은 외상성 대동맥 손상은 높은 사망률이 동반되는 심각한 문제를 초래한다. 따라서 동맥 이식편을 이용해서 손상된 대동맥을 재건하는 긴급한 응급 수술적 치료가 일반적으로 필요하다. 최근에는 스텐트-그라프트를 삽입하여 대동맥 손상을 인터벤션으로 치료하는 방법이 소개되고 있다.
자상으로 인해 대동맥에 거짓동맥류와 이와 관련한 후복강 혈종이 생긴 39세 여자 환자가 권역외상센터로 호송되었다. 자상의 위치는 복강동맥과 같은 높이의 뒤쪽이었으며, 따라서 상장간막동맥과의 거리인 2cm 정도가 주어진 최대한의 원위부 착륙 지대였다.
이에 전통적인 TEVAR 용 스텐트-그래프트가 아닌, 본래 시술 계획보다 연장해서 스텐트-그래프트를 설치할 때 사용하게 되는 대동맥 확장제만을 이용하여 성공적으로 대동맥 손상에 대한 스텐트-그래프트 설치를 수행하였다. 시술 후 거짓동맥류는 소실되었고 복강동맥 혈류는 원활하였다.
영문 초록
Traumatic aortic injuries such as pseudoaneurysm or rupture have remained a serious problem, with a high mortality rate. Therefore, urgent open repair with reconstruction of the injured aorta using a stent-graft is generally mandatory. More recently, endovascular repair of a blunt injury to the abdominal aorta by insertion of a stent graft was introduced. A 39-year-old female referred for presenting a stab wound in the lower back to the regional
trauma emergency center. Abdominal CT scan revealed an extensive retrocrural and retroperitoneal hematoma associated with a large aortic pseudoaneurysm, which located posteriorly subcentimeter above the level of the
celiac trunk. The application of traditional stent-graft requires a proximal and distal landing zone of at least 2 cm; however, our patient who present with aortic injury at the level of celiac trunk of aorta, who does not have a suitable proximal landing zone distal to the celiac trunk. Therefore, we decided stent-graft placement for aortic injury with celiac trunk coverage. Because of serious complication by nontarget SMA occlusion and resulting bowel ischemia, a stent-graft placement of the aortic injury using an aortic extender was performed. Radiological and clinical follow-up revealed a gradual shrinkage of the aforementioned extensive retroperitoneal hematoma and pseudoaneurysm.
Introduction
외상에 의한 대동맥 손상에 대해서는 동맥 이식편을 이용하여 손상된 대동맥을 재건하는 응급수술적 치료가 일반적으로 필요하다. 그러나 혈역학적으로 불안정한 외상 환자에서는 인터벤션을 통한 동맥색전술, 스텐트-그래프트 설치술이 대량 출혈의 위험을 감소시켜 생존율을 높이며 그 외에도 손상된 다른 고형장기의 불필요한 수술 예방과 장기 보존을 통해 환자의 예후에 긍정적으로 기여하게 됨은 여러 연구에서 발표되었다.
저자들은 자상에 의한 대동맥 손상으로 대량의 활동성 출혈과 혈종이 동반되어 있던 환자에서 일차적 인터벤션 스텐트-그래프트설치술을 시행하여 좋은 결과를 얻었기에 이의 성적을 보고하고자 한다.
Case report
증례
39세/여자
임상소견
이전 병력 없던 39세 여자 환자가 타인에 의해 등에 칼이 찔린 것을 주소로 외부 병원을 거쳐 본원 권역외상 센터로 호송되었음. 내원 당시 칼은 제거된 상태였으며 초기 혈압 100/60mmHg에 맥박수 90회였음. 산소포화도는 99%로 유지되고 있었으나 응급 혈액검사에서 Hb 9.6g/dL로 측정되었음. 대동맥에서의 거짓 동맥류 및 후복강 내 대량의 출혈 소견이 전산화단층촬영에서 확인되어 응급 지혈을 위한 인터벤션 시술이 의뢰되었음.
진단명
Stab wound injury to the abdominal aorta at the level of celiac trunk
영상소견
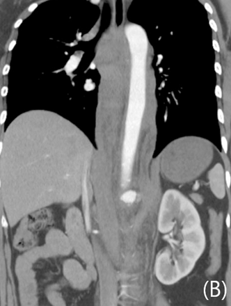
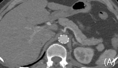
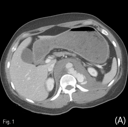
전산화단층촬영에서 자상으로 인해 대동맥에 거짓동맥류와 이와 관련한 광범위한 후복강 혈종이 보이고 있음 (Fig. 1A, B). 거짓동맥류가 생긴 위치는 복강동맥이 기시하는 높이의 뒤쪽 왼쪽인 5시 방향이었음. 이와 연관된 혈종은 후복강의 대동맥 주변과 횡격막 다리의 뒤쪽을 따라 연장되어 있었음. 그 외 다른 흉강이나 복강내 장기의 손상은 동반되지 않았음.
시술방법 및 재료
임상적, 영상의학적 판단에 따라 대동맥에 대한 단일 병변이며, 젊은 나이의 여자 환자임을 감안하여 스텐트-그래프트 설치술의 외상 인터벤션 시술을 수술적 치료보다 우선적으로 고려하였음. 다만 자상의 위치가 복강동맥과 같은 높이의 뒤쪽이었기 때문에, 복강동맥 은 스텐트-그래프트에 의해 필연적으로 덮이게 된다는 점이 임상적으로 중요해짐. 따라서 복강 내 장기들의 혈류를 위해 상장간막동맥(superior mesenteric artery)을 필수적으로 보호해야 한다는 점이 첫 번째의 과제이면서, 이로 인해 복강 동맥과 상장간막동맥과의 거리인 2cm 정도가 원위부 착륙 지대 (distal landing zone)로 주어진 최대한의 길이라는 점이 두번째의 당면 과제가 되었음. 또 하나의 중요 고려사항으로 복강 동맥 높이의 대동맥 손상 부위보다 위쪽은 전혀 병리가 없는 정상 대동맥이어서 스텐트-그래프트가 설치되는 범위를 최소화하는 게 필요하겠음. 이에 전통적인 TEVAR 용 스텐트-그래프트가 아닌, 본래 시술 계획보다 연장해서 스텐트-그래프트를 설치할 때 사용하게 되는 대동맥 확장제 (aortic extender, 23-mm in length 33-mm in diameter of Gore Excluder)만을 이용하여 대동맥 손상에 대한 스텐트-그래프트 설치를 수행하기로 함. 오른쪽 온넙다리동맥을 천자하여 5Fr sheath를 거치한 후 pigtail catheter를 이용하여 대동맥조영술을 시행하였을 때 복강 동맥 높이에서 파열 거짓동맥류와 조영제 유출이 보이고 있음(Fig. 2).
Cobra catheter로 교체하여 상위장간막동맥 조영술을 시행하였을 때 상위장간막동맥의 혈류는 원활하였음. 카테터를 상위장간막동맥 입구에 거치한 상태로 왼쪽 온넙다리동맥을 천자하여 6Fr sheath를 거치하고 guidewire를 이용하여 진입시킬 때 대동맥 손상 부분을 통해 guidewire가 나가는 것이 확인됨 (Fig. 3A). 이 때 guidewire 부분이 반드시 스텐트-그래프트로 덮어야 할 부분이고, 카테터가 있는 부분이 반드시 스텐트-그래프트로 덮지 말아야 할 부분이라 할 수 있음. 이후 왼쪽 온넙다리동맥 천자부위를 Preclose technique으로 16Fr sheath로 교체하고 (Fig. 3B) Gore excluder aortic extender 23 mm x 3.3 cm를 성공적으로 설치하였음(Fig. 3C).
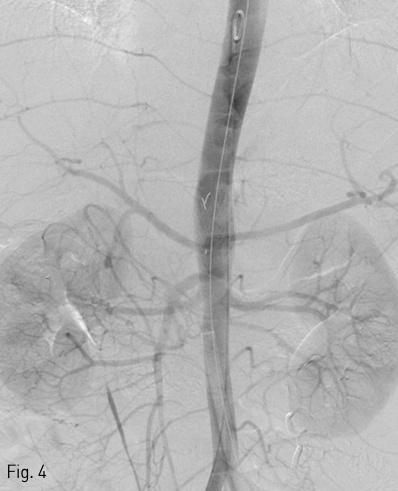
시술 후 거짓동맥류는 소실되었으며, 췌십이지장 연속활(pancreaticoduodenal arcade)를 통한 복강동맥의 가지로의 동맥 혈류는 원활하였음 (Fig. 4).
시술은 새벽 3시 48분에 시작되어 4시 31분에 종료되었음.
추적관찰
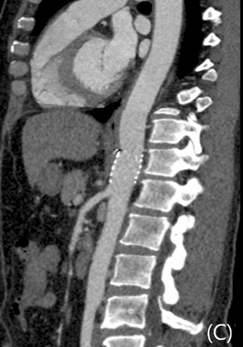
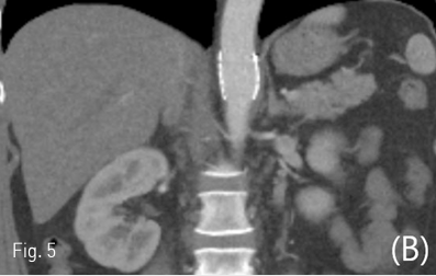
응급 지혈을 위한 스텐트-그래프트 설치술을 시행 받은 후 환자의 생체 징후는 안정화되었고, 후복강 혈종이 감소하는 양상으로 퇴원하였음. 시술 후 3개월 외래에서 시행한 경과 관찰 전산화단층활영에서 후복강의 혈종은 모두 없어졌으며 복강동맥으로의 혈류는 원활하였고 스텐트-그래프트는 상장간막동맥 바로 위에 잘 설치되었음이 확인됨(Fig. 5). 현재 3년째 외래 경과 관찰 중인 상태로 스텐트 확인을 위한 1년 주기의 전산화단층활영 검사와 정신과적 진료를 받고 있음.
Fig 1A
Contrast-enhanced axial (A), coronal (B) CT scan demonstrates ruptured pseudoaneurysm (arrows) at posterior aspect of abdominal aorta causing redundant hemoretroperitoneum.
Fig 1B
Contrast-enhanced axial (A), coronal (B) CT scan demonstrates ruptured pseudoaneurysm (arrows) at posterior aspect of abdominal aorta causing redundant hemoretroperitoneum.
Fig 2
Abdominal aortogram shows ruptured pseudoaneurysm (arrow) at a level of celiac trunk.
Fig 3A
(A) A 0.035-inch guidewire and a 5 Fr Cobra catheter were located in lumen of ruptured pseudoaneurysm (must be covered) and os of superior mesenteric artery (should never be covered), respectively.
Fig 3B
(B,C) Aortic stent-graft (GORE EXCLUDER 23mm/3.3cm) was deployed to cover ruptured pseudoaneurysm with left common femoral approach using 16 Fr sheath and preclose manner.
Fig 3C
(B,C) Aortic stent-graft (GORE EXCLUDER 23mm/3.3cm) was deployed to cover ruptured pseudoaneurysm with left common femoral approach using 16 Fr sheath and preclose manner.
Fig 4
Completion aortography showed exclusion of previously noted ruptured pseudoaneurysm and patent arterial flow of celiac trunk branches via pancreaticoduodenal arcade.
Fig 5A
Follow up contrast-enhanced axial (A), coronal (B), curved MPR (C) CT scan after 3 months showed patency of celiac trunk and SMA. The ruptured pseudoaneurysm at the level of celiac trunk with hemoretroperitoneum was disappeared.
Fig 5B
Follow up contrast-enhanced axial (A), coronal (B), curved MPR (C) CT scan after 3 months showed patency of celiac trunk and SMA. The ruptured pseudoaneurysm at the level of celiac trunk with hemoretroperitoneum was disappeared.
Fig 5C
Follow up contrast-enhanced axial (A), coronal (B), curved MPR (C) CT scan after 3 months showed patency of celiac trunk and SMA. The ruptured pseudoaneurysm at the level of celiac trunk with hemoretroperitoneum was disappeared.
고찰
스텐트-그래프트 설치술은 원래 혈류를 유지한 상태로 동맥 출혈을 막을 수 있는 효과적인 시술이다. 그러나 대동맥류나 대동맥박리 등의 내과적 대동맥 질환과는 달리 외상성 대동맥 손상에 대해서는 endovascular repair와 open repair 간의 randomized controlled study가 없어 명확한 가이드라인이 정립되어 있지는 않다. 2013년에 보고한 Azizzadeh A, et al.에 따른 면 open repair 군이 endovascular repair 군에 비해 3배 정도의 합병증 및 재원중 사망률이 높고 두 군 간의 의료비에는 차이가 없었다고 보고하였으며, 이 논문이 외상성 대동맥 손상에 대해 endovascular repair를 뒷받침하는 근거가 되고 있다 (1). 그 이전에 보고된 총 7768명의 환자, 139개의 연구에 대한 메타분석연구에서는 endovascular repair 군이 open repair 군에 비해 사망률이 9% 대 19%로 낮다고 보고하였으나 포함된 모든 논문 이후 행적 연구이면서 무작위 연구와 비교 연구가 없어 매우 낮은 정도의 evidence level 만 갖는다는 점이 한계로 지적된다 (2). 그렇기에 2014년에 보고된 유럽심장학회 가이드라인 (3)에 따르면“In cases of traumatic aortic injury with suitable anatomy requiring intervention, TEVAR should be preferred to surgery” 로 비록 Class IIa recommendation (should be considered 정도의 권고) 정도이며, 그 level of evidence도 가장 낮은 C 등급이긴 하지만 endovascular repair의 역할을 외상 환자에 대한 가이드라인으로서 확인한 것은 큰 임상적 의미가 있다 하겠다.
본 환자의 경우에는 대동맥의 자상에 의한 출혈성 손상 외에 다른 외상성 손상이 없었다는 점, 환자가 젊은 나이의 여자 환자였다는 점에서 수술적 치료보다는 인터벤션 치료로의 판단을 외상외과와 영상의학과의 협진에서 도출하였다. 비록 내원 당시에는 다소 stable 하였다고는 하나 환자의 영상검사를 고려할 때 언제든지 혈역학적으로 불안정해질 수 있는 환자였으므로 수술적 치료가 더욱 더 우선시되기는 어려웠다.
환자의 시술 후 보인 매우 빠른 회복을 포함한 임상 경과에서의 인터벤션 치료의 장점은 더욱 더 백인백색의 특징을 가진 외상환자에서 좋은 치료를 위해서 다학제적 접근이 중요함을 시사한다. 그런 점에서 aortic extender만을 사용하여 시술을 마쳤던 환자의 증례에 서볼 수 있 듯, 외상 환자 치료에 대한 접근 시에 사고, 판단의 유연성이 중요함은 자명하다. 다만 이 증례에서 사용되었던 시술의 기구가 더 이상 우리나라에서 쓸 수 없게 된 것은 아쉬운 일이 아닐 수 없다.
본 증례는 자상에 의한 대동맥 손상으로 대량의 활동성 출혈과 혈종이 동반되어 있던 환자에서 대동맥 확장체 (aortic extender) 만을 이용하여 일차적 인터벤션 스텐트-그래프트 설치술을 시행하였고 좋은 임상적 결과를 얻었다. 다양한 임상 소견을 보일 수 있는 외상 환자에 대한 치료시에는 사고, 판단의 유연성과 다학제적 협진이 중요할 것이다.
참고문헌
1. Azizzadeh A, Charlton-Ouw KM, Chen Z, et al. An outcome analysis of endovascular versus open repair of blunt traumatic aortic injuries. J Vasc Surg 2013;57:108-115
2. Murad MH, Rizvi AZ, Malgor R, el al. Comparative effectiveness of the treatments for thoracic aortic transection. J Vasc Surg 2011;53:193-199
3. Erbel R, Aboyans V, Boileau C, et al. 2014 ESC Guidelines on the diagnosis and treatment of aortic diseases: Document covering acute and chronic aortic diseases of the thoracic and abdominal aorta of the adult. The Task Force for the Diagnosis and Treatment of Aortic Diseases of the European Society of Cardiology (ESC) Eur Heart J 2014;35:2873-2926
Citations
Citations to this article as recorded by
