중심단어
Multilayer flow modulator stent, abdominal aortic aneurysm
한글 초록
상장간막동맥 기시부 뒤쪽에 생긴 대동맥류를 multilayer flow modulator (MFM) stent를 이용하여 치료하였다. 추적관찰에서 동맥류의 크기는 성공적으로 줄었고 주위 내장혈관의 혈류는 잘 유지되었다. 내장혈관과 근접하여 발생한 대동맥류의 환자에서 MFM 스텐트는 안전하고 효과적인 치료방법이다.
영문 초록
An abdominal aortic aneurysm, just posterior to the origin of the superior mesenteric artery, was treated with a multilayer flow modulator
(MFM) stent. On follow-up images, the size of the aneurysm decreased gradually with favorably preserved blood flow in the visceral arteries. In patients with an abdominal aortic aneurysm near the origin of the visceral arteries, endovascular repair using MFM stent is a safe and effective.
Introduction
주요한 내장동맥과 근접해서 발생하는 대동맥류는 endograft로 치료할 수가 없다. 이러한 환자에서 MFM 스텐트를 이용하여 안전하고 효과적으로 치료할 수 있다.
Case report
증례
68세/여자
임상소견
복부 대동맥염 진단 하에 타병원에서 항생제 치료 후 호전되었던 환자로 추적 관찰 중 염증 있었던 부위에 낭성 동맥류가 발생하여 내원하였다.
진단명
Juxtarenal saccular aortic aneurysm
영상소견
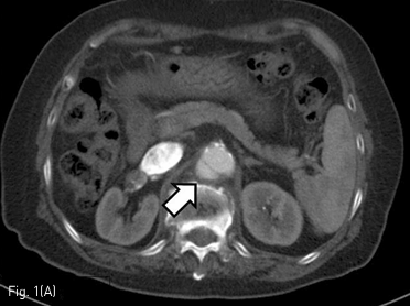
조영증강 CT에서 1.4 x 2.4 cm 크기의 낭성동맥류가 상부 복부 대동맥에서 보이고 상장간막동맥의 기시부 뒤쪽에 위치하고 있었다 (Fig. 1A-B). 그리고 우측 신장동맥 기시부에 국소 협착이 있었다.
시술방법 및 재료
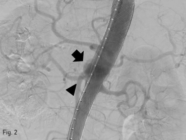
좌측 대퇴동맥을 천자하여 5 Fr sheath를 삽입하고 우측 대퇴동맥을 천자하여 8 Fr sheath를 삽입하였다. 좌측 대퇴동맥을 통하여 5 Fr pigtail catheter를 상부 복부 대동맥에 위치시킨 후 대동맥 조영술을 시행하였다. 낭성 동맥류가 상장간막동맥 기시부의 뒤쪽에 있었고 우측 신장동맥의 기시부에는 국소협착이 있었다. 5Fr GLIDE catheter with Sim 1 shape (Terumo Medical Corp., Somerset, NJ)와 0.035인치 유도철사를 이용하여 우측 신장동맥을 선택한 후 0.035인치 stiff 유도철사로 교체하였다. 8-Fr RDC Vista Brite Tip guide catheter (Cordis, Miami Lakes, FL)를 삽입 후 0.018인치 유도철사로 교체하고 5 mm x 19 mm balloon-expandable bare metal stent (Express SD; Boston Scientific, Marlborough, MA)를 우측 신장동맥 협착부에 설치하였다. 이후 0.035인치 stiff 유도철사를 대동맥에 위치시킨 후 25 mm x 100 mm MFM stent (Cardiatis, Isnes, Belgium)를 낭성 동맥류를 중심으로 위치시켜 상부대동맥 전반에 걸쳐 설치하였다. 시술후 시행한 혈관조영 영상에서 스텐트 내부 및 하방의 혈류는 잘 유지되어 있고 복강 동맥, 상장간막동맥 그리고 양측 신장동맥 등의 혈류도 잘 유지되고 있었다. 그리고 복부 대동맥류 내부로의 혈류도 남아 있었다 (Fig. 2).
추적관찰
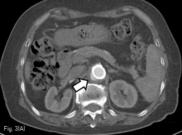
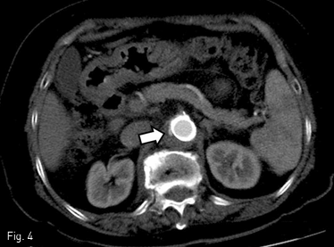
시술 3개월후 시행한 조영증강 CT와 혈관조영 영상에서 복부동맥류의 크기는 0.9 x 1.4 cm으로 줄어들었다. 복강 동맥, 상장간막동맥 그리고 양측 신장동맥의혈류는 잘 유지되어 있었다 (Fig. 3). 시술 6개월 뒤 시행한 조영증강 CT에서는 복부 동맥류의 크기가 더 줄어들어 최대 직경 0.5 cm으로 측정되었다(Fig. 4).
Fig 1A
(A-B) Contrast enhanced CT and volume rendering image show a saccular aneurysm (arrows) involving the upper abdominal aorta, just posterior to the SMA origin.
Fig 1B
(A-B) Contrast enhanced CT and volume rendering image show a saccular aneurysm (arrows) involving the upper abdominal aorta, just posterior to the SMA origin.
Fig 2
Abdominal aortography shows a MFM stent along the entire abdominal aorta and an endovascular stent at the right proximal renal artery (arrowhead) with favorable patency. All visceral arteries are patent. Residual flow is noted within the saccular aneurysm (arrow).
Fig 3A
(A) 3-month follow up CT shows decrease in size of saccular aneurysm (arrow) with eccentric thrombosis at the upper abdominal aorta.
Fig 3B
(B) All visceral arteries are favorably patent on the volume rendering image.
Fig 4
6-month follow up CT shows near-complete thrombosis of the saccular aneurysm (arrow).
고찰
대동맥류는 전통적으로 수술적 치료를 시행하지만 수술의 위험성이 높아 최근 들어 혈관내 치료의 비중이 높아지고 있다. 대동맥류는 endografts, coil 등을 이용하여 혈관내 치료를 할 수 있지만 여러 제한점이 있다. 특히 주요한 내장동맥과 근접해서 발생하는 대동맥류는 endograft로 치료하는데 한계가 있는데 이를 극복하기 위해 branched grafts, fenestrated grafts, chimney technique 등의 새로운 혈관내 기법이나 기구들이 개발되어 적용되고 있다. 그러나 국내에서는 이러한 새로운 기구는 도입되지 않아 적용이 불가능하고 chimney technique 등의 기법은 gutter leak 등의 위험성이 있다. Multilayer Flow Modulator (MFM)은 새로운 개념의 스텐트로 5겹으로 상호 연결된 코발트 합금철사를 꼬아서 자가팽창형 mesh 구조로 제작된다. 이 구조는 native side branch로는 혈류가 정상적으로 흐르게 하고 동맥류 주머니 내의 와류는 laminating 혈류로 변환시킨다. 이러한 flow modulation 기전을 통해 MFM 스텐트는 동맥류낭의 혈류를 완전하게 차단하지 않고도 동맥류 벽에 가해지는 압력을 낮추고 혈전을 유도하여 치료할 수 있다. MFM 스텐트는 비교적 간단하고 쉽게 설치할 수 있다는 장점이 있으며, 최소한의 침습만으로도 동맥류를 치료할 수 있다.(2)
본 증례 환자에서도 신장동맥, 상장간막동맥 등의 주요한 내장혈관이 기시하는 부위에 동맥류가 발생하였고 동맥류의 감염까지 의심되는 상황이어서 수술적 치료나 endograft를 이용한 혈관내 치료를 선택하기 쉽지 않아 MFM 스텐트를 설치하였다. 신장동맥의 협착이 남아있는 상태로 MFM 스텐트를 시행하면 신장동맥내의 laminating flow가 유지되지 않아 폐색이 일어날 수 있으므로 MFM설치 전에 신장동맥 스텐트를 먼저 설치하였다. 추적관찰 영상에서 동맥류의 크기는 성공적으로 줄었고 주위 내장혈관의 혈류는 잘 유지되었다. 내장혈관과 근접하여 발생한 대동맥류의 환자에서 MFM 스텐트는 endograft를 대체할 수 있는 안전하고 효과적인 치료법이다.
참고문헌
1. Henry M, Benjelloun A, Henry I, Wheatley G. The multilayer flow modulator stent for the treatment of arterial aneurysms. J Cardiovasc Surg (Torino) 2013;54:763-783
2. Sultan S, Hynes N. One-year results of the multilayer flow modulator stent in the management of thoracoabdominal aortic aneurysms and type B dissections. J Endovasc Ther 2013;20:366-377
Citations
Citations to this article as recorded by
