중심단어
Aortoesophageal fistula, thoracic endovascular aortic repair (TEVAR), esophageal stent, concurrent chemoradiotherapy
한글 초록
식도 중부에 편평세포암이 있던 55세 남자 환자가 식도스텐트를 삽입하고 항암방사선 동시요법을 시행받았다. 3개월 뒤 토혈이 있어 시행한 내시경 검사에서 식도 내부에 대량 출혈이 있었고, 응급 조영증강 흉부 컴퓨터단층촬영에서 식도 중부의 후벽에 조영 증강되는 가성동맥류가 있었으며 대동맥에서 가성동맥류로 연결되는 대동맥식도루가 보였다. 이에 대하여 흉부 대동맥 내에 스텐트 그라프트를 삽입하여 대동맥식도루를 통한 출혈을 치료한 증례이다.
영문 초록
A 55-year-old male patient with squamous cell carcinoma in mid portion of the esophagus had been undertaken esophageal stent insertion and concurrent chemoradiation therapy. After 3 months since first external beam radiation therapy, patient showed hematemesis, and active bleeding focus was seen in the proximal portion of the stent on endoscopic examination. On chest CT performed in emergency, pseudoaneurysm and aorto-esophageal fistula were seen in the posterior wall of the esophagus. Patient was treated with thoracic endovascular aortic repair (TEVAR).
Introduction
대동맥 침범이 의심되는 식도암 환자가 고식적인 자가팽창철제식도스텐트(SEMS, self-expandable metal stent)를 가진 상태에서 외부조사 방사선 치료
(EBRT, external-beam radiation therapy) 를 받고 있다면 대동맥식도루의 가능성에 대해 고려가 필요하다. 본 증례는 식도스텐트를 삽입하고 항암방사선 동시 요법을 시행받은 환자에서 대동맥 식도루가 발견된 증례로서, 흉부 대동맥 스텐트-그라프트 삽입술로 치료한 증례이다.
Case report
증례
55세/남자
임상소견
특별한 기저질환이 없던 환자로, 서서히 발생한 연하 곤란을 주소로 4개월 전 내시경 검사를 시행하였고, 식도 중부에 압박을 보이는 종괴가 있어 전원되었다. 본원에서 내시경 검사 하에 시행한 조직검사 상 편평세포암으로 진단되었고 흉부 컴퓨터단층촬영에서 해당 병변이 종격동과 기도 및 양측 주기관지를 침범한 상태였다. 환자는 고식적 치료를 위해 내시경을 통하여 식도스텐트를 삽입하였고 국소적 항암방사선 동시요법(CCRT, Concurrent chemoradiotherapy)을 시행하였다. 약 3개월 후 환자는 폐렴으로 인해 입원치료를 받았고, 입원 상태에서 토혈을 하였다. 추적 내시경 검사에서 식도 내부에 대량 출혈이 보였다 (Fig. 1A). 환자는 명치의 통증을 호소하였으며 맥박수가 100대로 상승하고 수축기 혈압이 70-80대로 낮아지는 등 활력징후상 불안정을 보였다.
진단명
Aortoesophageal fistula, Pseudoaneurysm at posterior wall of the esophagus.
영상소견
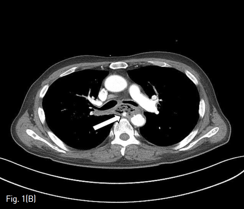
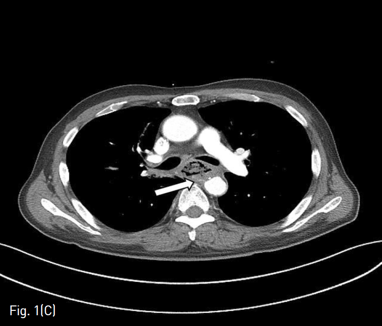
응급으로 시행한 조영증강 흉부 컴퓨터단층촬영에서 폐 우상엽의 중앙 부분과 내측에 공동을 동반한 폐렴이 있었다. 식도 중부의 후벽에 조영 증강되는 가성동맥류가 있었으며 대동맥에서 가성동맥류로 연결되는 대동맥식도루가 보였다 (Fig. 1B). 흉부 컴퓨터단층촬영에서 식도 내강으로의 조영제의 명확한 유출은 보이지않았으나, 해당 위치에서 출혈이 있는 것으로 판단하고 응급으로 혈관 내 치료가 의뢰되었다(Fig. 1C).
시술방법 및 재료
흉부 컴퓨터단층촬영에서 대동맥식도루가 확인되어 glue-lipiodol mixture로 색전술을 시행하는 방법도 고려되었다. 하지만 정상적이지 않은 벽을 가진 흉부대동맥 내에서 카테터 조작을 통해 누공의 입구를 찾아 glue 색전을 시행하는 것의 안전성이 우려되었다. 이에 흉부 대동맥 내에 스텐트 그라프트 삽입을 하기로 결정하였다.
흉부외과와의 협진 하에 우측 총대퇴동맥을 절개하고, 좌측 총대퇴동맥은 초음파 유도하에 피부경유 천자법으로 접근하였다. 5-Fr sizing catheter를 왼쪽 총대퇴동맥을 통해 대동맥활에 위치시켰으며, 이를 통해 얻은 혈관조영영상에서 내림 흉부대동맥에서 기시하는 대동맥식도루를 통해 조영증강되는 식도 중부의 가성동맥류 및 식도 내부의 조영제 유출이 확인되었다(Fig. 2A). 흉부 컴퓨터단층촬영과 종합해 볼 때, 대동맥식도루는 왼쪽 빗장밑동맥(Left subclavian artery)으로부터 충분한 거리가 있었으며, 복강동맥으로부터도 충분한 거리가 있음을 확인할 수 있었다. 우측 총대퇴동맥을 통해 0.035”Guide wire (Radiofocus; Terumo, Tokyo, Japan)와 head-hunter type의 카테터(H1; Cook medical, Bloomington, IN, USA)를 오름 흉부대동맥에 위치시키고, extra-stiff guide wire (Lunderquist; Cook medical)으로 wire를 교체하였다. 이를 통해 24mmx6cm SEAL 흉부 스텐트 그라프트 (S&G Biotech, Sungnam-si, South Korea)을 진입시켰다. 이후 투시 하에 스텐트 그라프트를 왼쪽 빗장밑 동맥 원위부의 내림 흉부대동맥 내에서 설치하였다.
우측 천자부위의 스텐트 그라프트 운반기구를 제거한 뒤 시행한 혈관조영영상에서 아직 가성동맥류로의 조영제 유출이 있음을 확인하였고 (Fig. 2B), 이에 SEAL 풍선카테터 (S&G Biotech)을 이용하여 스텐트 그라프트를 혈관벽에 밀착시켰다 (Fig. 2C). 마지막 혈관조영영상에서 스텐트 그라프트는 충분히 늘어나있고 가성대동맥류는 혈류와 완전히 격리되었음을 확인하고 시술을 종료하였다 (Fig. 2D).
흉부외과와의 협진 하에 절개한 우측 총대퇴동맥을 봉합하였고, 좌측 총대퇴동맥은 지혈기구 StarClose (Abbott, Chicago, IL, USA)을 이용하여 성공적으로 지혈시켰다.
추적관찰
스텐트 삽입 후 환자의 활력징후가 점차 안정되었으며, 토혈 및 명치 통증은 호전되었다. 추적 내시경 검사 상 몇 개의 식도 내 누공이 의심되었으나 추가적인 출혈은 보이지 않았다. 환자는 내시경을 통해 경피적위루설치술을 시행한 뒤 안정적인 상태로 다른 합병증 없이 퇴원하였다.
Fig 1
(A) This is endoscopic view of a patient with massive hematemesis. Active bleeding focus is seen in the proximal portion of the stent.
(B-C) On chest CT performed in emergency, pseudoaneurysm and aorto-esophageal fistula are seen in the posterior wall of the esophagus (arrows).
Fig 2
(A) Pseudoaneurysm and extravasation of contrast material into esophagus are seen in the aortogram.
(B) Pseudoaneurysm (arrow) and aortoesophageal fistula are still seen in the aortogram performed after stent graft was deployed in the thoracic aorta.
(C-D) After additional balloon inflation in the stent-graft, no contrast leakage to the aortoesophageal fistula is seen on aortogram.
고찰
대동맥식도루는 드물지만 발생시 대량 위장관내 출혈을 발생시키는 매우 치명적인 질환이다. 대동맥식도루의 가장 흔한 이유는 흉부 대동맥류, 이물질 삼킴, 악성종양등이다(1, 2). 특히 식도암이 있을 때 고식적 치료의 일환으로 금속 스텐트 설치술을 시행하는 경우가 많은데, 이때 드물게 출혈이나 천공과 같은 심각한 합병증을 가져오기도 한다. 이 경우 압박괴사(pressure necrosis)가 일어남으로써 대동맥식도루가 형성된 것으로 생각하는 보고도 있었다 (3). 또한 종양직접침범이 있는 환자에서 외부조사 방사선치료가 대동맥의 vasa vasorum에 손상을 일으켜 대동맥식도루가 발생했을 가능성을 주장하는 케이스들이 보고되고 있다(4-7). McGinnis 등은 자신들의 증례보고에서 대동맥 침범이 의심되는 식도암 환자가 고식적인 자가팽창 철제 식도스텐트(SEMS, self-expandable metal stents)를 가진 상태에서 외부조사 방사선치료(EBRT, external-beam radiation therapy)를 받고 있다면 대동맥식도루의 발생 가능성에 대해 더 특별한 임상적 고려(special consideration)가 필요하다고 보고한 바 있다(8).
대동맥식도루의 치료로는 스텐트 그라프트 설치가 고려될 수 있다. 신 등은 혈역학적 불안정성을 보이는 대동맥식도루 환자에 대해 우선적으로 glue 색전술을 시행한 케이스를 보고한 바 있다(3).
참고문헌
1. Roten R, Peterfy R. Aortoesophageal Fistula. Clin Pract Cases Emerg Med 2017;1:260-261
2. Hollander JE, Quick G. Aortoesophageal fistula: a comprehensive review of the literature. The American journal of medicine 1991;91:279-287
3. Shin JH, Ko GY, Kwon DI, Yoon HK, Song HY, Sung KB. Aortoesophageal Fistula Secondary to Placement of Palliative Esophageal Stent. Korean Journal of Interventional Radiology 2008;15:20-23
4. Um SJ, Park BH, Son C. An aortoesophageal fistula in patient with lung cancer after chemo-irradiation and subsequent esophageal stent implantation. Journal of Thoracic Oncology 2009;4:263-265
5. Gabrail NY, Harrison BR, Sunwoo YC. Chemoirradiation induced aortoesophageal fistula. Journal of surgical oncology 1991;48:213-215
6. Parikh MP, Sherid M, Panginikkod S, Rawal HA, Gopalakrishnan V. Radiation therapy-induced aortoesophageal fistula: a case report and review of literature. Gastroenterol Rep(OXf) 2016;4:165-167
7. Sivaraman SK, Drummond R. Radiation-induced aortoesophageal fistula: an unusual case of massive upper gastrointestinal bleeding. J Emerg Med 2002;23:175-178
8. McGinnis GJ, Holland JM, Thomas CR Jr, Nabavizadeh N. Massive hemorrhage following definitive esophageal chemoradiation: teaching case of a fatal aortoesophageal fistula and lessons learned. Clin Case Rep 2017;5:2074-2079
Citations
Citations to this article as recorded by
