중심단어
Bronchopleural fistula, stent
한글 초록
기관흉막루는 폐 수술 이후 발생할 수 있는 심각한 합병증이다. 우리는 투시 및 호흡기 내시경 유도 하에 자가팽창 피복 기관 스텐트를 이용한 수술 후 큰 기관 흉막류의 치료에 관한 증례를 보고한다. 기관흉막루는 합병증 없이 막혔고, 4개월 뒤 시행한 추적 흉부 CT에서 스 텐트의 이동이 없었다. 자가팽창 피복 기관 스텐트는 수술 후 큰 기관흉막루에 대한 효과적인 치료법이 될 수 있다.
영문 초록
Bronchopleural fistula is a potentially fatal serious complication of pulmonary resection. We report a case of a large postoperative bronchopleural fistula, which was successfully treated with the installation of a self-expanding covered metal stent under fluoroscopic and bronchoscopic guidance. The bronchopleural fistula was occluded without complications, and no migration was noted in the 4-month follow up chest CT. Self-expanding covered metal stent is an effective treatment for postoperative bronchopleural fistula.
Introduction
수술 후의 기관흉막루는 심각한 합병증으로써, 신속한 치료가 이루어지지 않을 경우 사망률이 11-13%에 달한다(1). 대부분의 기관흉막루는 보존적 치료로는 치료되지 않고, 수술적 치료는 실패율이 높은 것으로 보고 되었다(2). 반면 최소 침습적인 stent 설치는 기관흉막루의 효과적인 치료법이 될 수 있다.
Case report
증례
80세/남자
임상소견
폐암으로 우상엽 절제술 시행 받은 환자로 수술 후 지속적인 호흡곤란을 호소하였고 CT에서 수술부위의 bronchial stump disruption으로 인한 기관흉막루가 발견되었다. 추적 CT에서 크기가 점차 증가하였으며, 이에 대하여 화학적 흉막유착술 등을 시도하였으나 호전이 없어 추가 치료 위해 의뢰되었음.
진단명
수술후기관지흉막루
영상소견
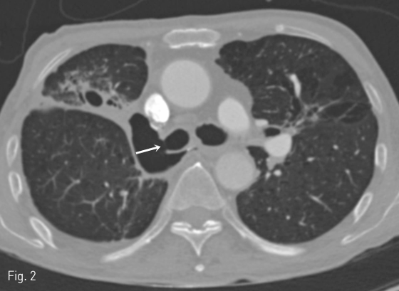
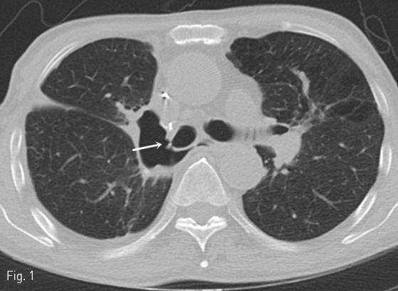
수술 3주 후에 시행한 흉부 CT에서 수술부위의 bronchial stump에 작은 틈새가 보였다 (Fig. 1). 그로부터 11일 뒤 시행한 CT에서 stump의 틈새가 더욱 커지고 (axial dimension: 8 mm) 흉강과 교통을 보이는 기관흉막루가 형성되었다 (Fig. 2).
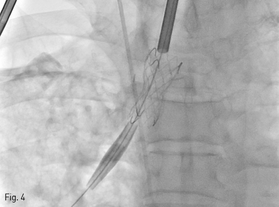
시술방법 및 재료
호흡기내과의 협진 하에 기관지내시경을 우주기관지 (right main bronchus)에 거치하였고 우상엽 절제부위의 기관흉막루를 확인하였다 (Fig. 3). 기관지 내시경 내로 0.035인치의 뻣뻣한 유도철사(Radifocus Guidewire stiff type, Terumo Medical Corp., Somersen NJ, USA)의 끝을 투시 유도 하에 우하엽 기관지에 위치시켰다. 그리고 유도철사의 끝을 우하엽 기관지에 유지시킨 상태로 기관지 내시경을 탈거하였다. 그 후 투시 유도하에 18 mm x 4 cm retrievable self-expanding silicone-covered stent (Hercules airway stent, S & G Biotech, Seongnam, Korea)를 우주기관지(right main bronchus)에 설치하였다. 스텐트 설치시 기관흉막 루가 완전히 덮이면서도 근위부가 기관 내로 돌출되지 않고 (Fig. 4) 원위부가 우폐의 다른 엽기관지를 막지 않도록 주의하였다. 시술 직후 기관지 내시경으로 기관흉막루가 stent로 완전히 덮인 것과 우폐의 다른 엽기관지들이 막히지 않은 것을 확인하였다 (Fig. 5).
추적관찰
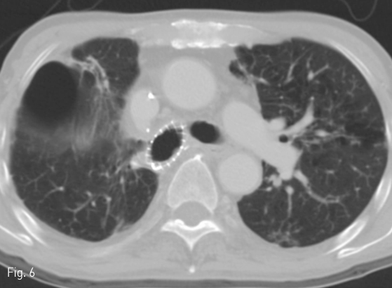
시술 약 4개월 뒤 시행한 추적 흉부 CT에서 stent가 위치 이동 없이 이전 기관흉막루가 있던 우상엽 stump를 완전히 덮은 것과 이전에 보이던 주변 air collection이 없어진 것(Fig. 6), 그리고 우중엽기관지 및 우하엽기관지를 막지 않고 있는 것을 확인하였다. 시술 후 환자는 호흡곤란이 호전되었고, stent로 인한 pain 등의 증상이 없고 위치이동이 없어서 retrieval은 하지 않고 추적 관찰하기로 하였다.
Fig 1
Axial chest CT reveals a tiny defect (white arrow) with adjacent pleural space air in the bronchial stump of the resected right upper lobe, representing bronchopleural fistula.
Fig 2
In the follow-up CT taken 11 days later, the defect of the bronchial stump (white arrow) has enlarged significantly.
Fig 3A
(A) Bronchoscopic image at the carina level reveals the defect (white arrow) at right upper lobe stump.
Fig 3B
(B) Bronchoscopic image at the right main bronchus level reveals large defect of the right upper lobe stump.
Fig 4
The covered self-expanding stent is being deployed in the right main bronchus. Caution was taken that the proximal end of the stent would not protrude into the trachea.
Fig 5
Bronchoscopy performed immediately after procedure reveals successful deployment of the stent in the right main bronchus, covering the previously visualized large defect of the right upper lobe stump.
Fig 6
Chest CT taken 4 months after the procedure shows occlusion of the previously visualized bronchopleural fistula with disappearance of the adjacent air collection.
고찰
폐 혹은 폐엽 절제술 이후의 기관흉막루는 심각한 후유증으로서, 0-15%의 환자에서 발생하는 것으로 알려져 있고, 사망률은 11-13%로 보고되고 있다 (1,3). 기관흉막루의 원인은 bronchial stump의 괴사 혹은 수술 매듭의 풀림이다 (3). 작은 기관흉막루는 보존적 치료로도 호전되는 경우가 있지만, 대부분의 기관흉막루는 자발적으로 치료되지 않는다. 조기 기관흉막루(수술 후 1 주일 이내 발생하는 경우)는 호흡곤란 증상이 있을 수 있으며, 지연 기관흉막루(수술 후 1 주일 이후 1 개월 이내 발생하는 경우)는 흡인폐렴, 체중감소, 전반적인 건강 저하를 유발할 수 있다 (2).
기관흉막루의 치료를 위해 다양한 방법의 치료들이 시도되었다. 하지만 fistula repair, omental flap 등의 수술적 치료는 실패율이 높은 것으로 보고되었다. 또한 대부분의 지연 기관흉막루 환자들은 장기간의 감염으로 인해 전신 상태가 불량하여 수술을 진행하지 못하는 경우가 많다 (3). 비수술적인 방법으로는 스텐트 이 외에도 vascular occluding coil 또는 cyanoacrylate glue이 보고되기는 하였지만, 주변의 지지해줄 수 있는 구조물이 없는 상태에서 위치가 쉽게 변할 수 있기 때문에 이는 기관흉막루의 크기가 작을 때만 시도하는 것이 좋다 (2).
기관흉막루의 치료를 위해 처음에 가장 많이 사용되던 스텐트는 실리콘 스텐트로써, 원래는 기관기관지 협착을 치료하기 위해 사용되던 스텐트이다 (4). 2005년 부터는 self-expanding covered metallic stent를 기관흉막루의 치료에 사용하는 것이 보고되었다 (5). 최근에는 occlusion stent, 환자 개개인의 해부학적 특징에 맞춘 customized stent 등 다양한 스텐트를 이용한 치료가 보고되고 있다 (2,3). 스텐트의 장점으로는 불량한 전신상태로 인해 수술을 시행하기 힘든 환자에서 최소 침습적인 방법으로 짧은 시간 안에 시행할 수 있다는 것과, 기관흉막루의 크기가 큰 경우에도 사용할 수 있다는 것을 들 수 있다. 스텐트 설치 시 스텐트가 다른 기관지를 막으면 막힌 기관지에 부속된 폐실질의 무기폐가 발생하면서 환자의 호흡기능이 저하될 수 있다. 따라서 적절한 길이의 스텐트를 이용하여 정확한 위치에 설치하여 정상 기관지를 막는 것을 피해야 한다. 스텐트 설치 이후의 합병증으로는 스텐트의 이동, 육아조직 형성, 객담 저류 등이 있을 수 있다 (3). 결론적으로 수술 후의 큰 기관흉막루의 치료에 self-expanding covered metallic stent를 사용하여 빠른 시간 내에 효과적으로 치료한 증례를 보고하는 바이다.
참고문헌
1. Kim KH, Lee KH, Won JY, Lee DY, Paik HC, Lee DY. Bronchopleural fistula treatment with use of a bronchial stent-graft occluder. J Vasc Interv Radiol 2006;17:1539-1543
2. Han X, Yin M, Li L, et al. Customized airway stenting for bronchopleural fistula after pulmonary resection by interventional technique: single-center study of 148 consecutive patients. Surg Endosc 2018;30. doi: 10.1007/s00464-018-6152-x.
3. Chae EY, Shin JH, Song HY, Kim JH, Shim TS, Kim DK. Bronchopleural Fistula Treated With a Silicone Covered Bronchial Occlusion Stent. Ann Thorac Surg 2010;89:293-296
4. Ferraroli GM, Testori A, Cioffi U, et al. Healing of bronchopleural fistula using a modified Dumon stent: a case report. J Cardiothorac Surg 2006;1:16
5. Nosotti M, De Simone M, Cioffi U. eComment. post pneumonectomy bronchopleural fistula: covered metallic stent or Amplatzer occluder? Interact Cardiovasc Thorac Surg 2012;14:423
Citations
Citations to this article as recorded by
