중심단어
Portal hypertension, ectopic varix, retrograde transvenous obliteration
한글 초록
간경화가 있는 55세 남자환자가 반복적인 위장관 출혈로 내원하였다. 내시경 소견상 십이지장 제2부에 궤양이 관찰되어 치료하였으나 출혈이 지속되어 동맥조영술이 의뢰되었다. 그러나, CT에서는 이소성 정맥류의 하나인 십이지장 정맥류가 관찰되어 우신장정맥을 통해 후향적접근을 시도하였고 정맥류를 성공적으로 치료하였다.
영문 초록
A 55-year-old man with liver cirrhosis presented with recurrent hematochezia. Endoscopy revealed duodenal ulcer and failed to achieve hemostasis. The patient was referred to perform an angiography. CT demonstrated prominent duodenal varix due to portal hypertension and no definite bleeding focus. Retrograde duodenal variceal venography showed active bleeding and was successfully managed by retrograde transvenous obliteration.
Introduction
위장관계 출혈은 CT 혹은 내시경을 통해 출혈 부위가 확인되기도 하나 출혈 부위를 특정하기 어려운 경우가 많으며 간헐적 출혈일 때 더욱 치료가 어렵다. 흔히 궤양 등에 의한 동맥 출혈인지 문맥고혈압에 의한 정맥 출혈인지 구별이 어려울 때가 있으며 불필요한 반복적 동맥조영술을 하기도 한다. 위장관내로 돌출되어 있는 정맥류를 CT에서 확인하는 경우 정맥류에 의한 출혈을 의심할 수 있으며 전신 정맥계로부터 후향적 접근을 통한 치료를 고려할 수 있다. 본 증례는 간경화 환자에서 내시경적 치료에 불응하고, 재발성의 이소성 정맥류 (ectopic varix)의 하나인 십이지장 정맥류 출혈을 우신장정맥을 통한 후향적 접근으로 혈관색전술을 시행하여 치료한 예이다.
Case report
증례
55세/남자
임상소견
2015년 알코올성 간경화로 진단받고 수차례 간성뇌증과 조절되지 않는 혈당으로 수차례 입원치료 받은 기왕 력 있는 분으로 내원 당일 시작된 혈변으로 응급실에 내원하였다. 환자는 2년 전에도 혈변이 있어 응급실 내
원하였고 당시 시행한 상부위장관 내시경에서 식도정맥류(grade I)와 십이지장 2nd portion에서 정맥류가 관찰되었고, 십이지장 궤양이 있었다. 당시 상부위장관 내시경에서 출혈의 원인으로 궤양 출혈이 의심되어 이에 대해 에피네프린 주입 및 지혈술 그리고 clipping을 시행하였었다. 그러나 환자는 지속적으로 출혈 소견이 보였었고, 이에 출혈의 원인이 정맥류 출혈 (variceal bleeding)으로 생각되어, 추가로 정맥촬영술 (venography) 시행하였으나 당시 뚜렷한 출혈점을 찾지 못했었다. 환자는 이번 내원 당시에도 출혈의 원인을 찾기 위해 내시경을 시행하여 궤양에 의한 출혈이 의심되었으나 효과적으로 지혈하지 못하고 혈관조영술이 의뢰되었다. CT 소견과 과거력을 고려할 때 정맥류 재출혈로 생각되어 후향적 접근에 의한 혈관색전술을 계획 하고 정맥촬영술(venography)을 시행하였다.
진단명
Recurrent duodenal variceal bleeding by portal hypertension
영상소견
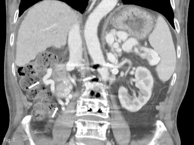
내원 3일전 시행한 전산화 단층촬영에서 간경화 소견과 함께 간문맥항진에 따른 식도정맥류와 십이지장 정맥류가 있었고 많은 양의 복수가 동반되어 있었다. 십이지장 정맥류는 주로 십이지장 제 2 부에 걸쳐 있었고 이는 상장간막 정맥(superior mesenteric vein)에서 기시하여 우측 신장정맥(right renal vein)으로 연결되는 장간막신장정맥단락 (mesenterorenal shunt)에 위치하고 있었다 (Fig. 1). 그러나 활동성 출혈(active bleeding)은 관찰되지 않았다.
시술방법 및 재료
초음파 유도하에 우측 총 대퇴정맥을 천자하여 6 French Balkin sheath insertion 후 우측 신장정맥으로 유입되는 장간막신장정맥 단락내의 입구까지 진입시켰다 (Fig. 2A). 정맥류가 성선정맥으로 측방으로 연결되어 연결점을 찾기 어려웠으나 5 French catheter (Cobra: Angiodynamics, Queensbury, NY, USA)와 0.035-inch hydrophilic guidewire (Radiofocus; Terumo, Tokyo, Japan)로 선택에 성공하여 portal vein 방향으로 진입을 시도하였다. 과도한 굴곡으로 진행이 어려워 microwire (Meister: Asahi Intecc, Nagoya, Japan) 와 2.2 French microcatheter (Progreat: Terumo)를 사용하여 혈류 방향에 역행 (retrograde approach) 하여 십이지장 제 2부에 있는 정맥류까지 진입하고 정맥 조영술을 시행하였다. 십이지장으로 활동성 출혈 (Fig. 2B)이 관찰되어 microcatheter를 조금 더 혈류 방향에 역행하게 진행하여 유출 정맥을 detachable microcoil (Concerto: Medtronic, Sunnyvale, CA, USA) 5개로 색전술을 시행하였다. 확실한 차단을 위해 문맥에서 원위부를 8 mm Amplatzer vascular plug type IV (St Jude Medical Inc., Saint Paul, MN, USA)로 막은 후 microcoil과 vascular plug 사이로 microcatheter를 위치한 후 Gelfoam 1000 micrometer (Caligel: Alicon, Hangzhou, China)으로 추가적인 색전술을 시행하였다 (Fig. 2C). 이후 vascular plug를 detach 하고 시술을 종료함.
추적관찰
경과관찰 후 추가적인 혈변 소견 없었으며 활력징후 는 안정적으로 유지되어 퇴원함.
Fig 1
A 55-year-old man with liver cirrhosis presents with hematochezia. Contrast-enhanced CT shows prominent duodenal varix (arrows).
Fig 2A
(A) A venogram shows venous drainage from duodenal varix (white arrows) to gonadal vein (black arrows).
Fig 2B
(B) A venogram of duodenal varix shows leakage of contrast medium into duodenum (arrow), suggestive of active bleeding.
Fig 2C
(C) After embolization of proximal (microcoils) and distal (plug, arrow) portion of the bleeding focus, fluoroscopic image shows stasis of variceal flow by Gelfoam injection via microcatheter.
고찰
간문맥 고혈압이 있는 간경화 환자에서 드물게 이소성 정맥류가 발생할 수 있으며 부위는 십이지장, 소장, 대장, 직장 그리고 복벽 등 다양한 부위에서 발생할 수 있다. 이중 가장 흔한 이소성 정맥류의 부위는 직장이며 그 뒤를 이어 십이지장이 두 번째를 차지한다. 그 중에서도 십이지장 팽대부가 가장 흔한 호발 부위이고 십이지장 제2부가 두 번째로 많으며 원위부에서는 드물다고 알려져 있다 [1].
십이지장 정맥류에서 출혈이 동반되는 경우는 드물기는 하나, 종종 다량의 치명적인 출혈을 야기할 수 있어서 적극적인 치료가 필요한 경우가 있다 [2]. 최근에는 십이지장 정맥류에 대한 치료법으로 내시경적, 영상의학적으로 다양한 치료법이 시도되고 있으나 아직 정형화된 치료법은 없다. 대개 일차적인 치료법으로 내시경 정맥류 결찰술 (Endoscopic band ligation)이나 내시경 경화 요법(Endoscopic injection sclerotherapy) 과 같은 내시경적 치료법이 우선적으로 시도되고 있으나 [3], 이러한 내시경적 치료술은 장시간의 지혈효과는 떨어지고 특히 재출혈시 치료에 어려움이 있다 [4].
이러한 내시경적 치료에 불응적인 식도정맥류의 경우 영상의학적으로 경경정맥간내문맥정맥단락술(Transjugular intrahepatic portosystemic shunt), 풍선폐쇄역행성경정맥폐쇄술 (Balloon occluded retrograde transvenous obliteration), plug assisted retrograde transvenous obliteration (PARTO), Coil-assisted retrograde transvenous obliteration (CARTO)가 이용되고 있다 [5]. 본 증례와 같이 정맥류가 성선정맥을 통해 이차적으로 연결되는 경우 후향적 접근으로 정확한 경로를 찾기 어려울 수 있으나 시술 전의 상세한 CT 고찰이 시술시간을 줄이고 시술성공에 도움이 될 것으로 생각된다.
참고문헌
1. Akhter NM, Haskal ZJ. Diagnosis and management of ectopic varices. Gastrointestinal Intervention 2012;1:310
2. Kang HY, Lee WK, Kim YH, et al. Ruptured duodenal varices arising from the main portal vein successfully treated with endoscopic injection sclerotherapy: a case report. Korean J Hepatol 2011;17:152-156
3. Park SB, Lee SH, Kim JH, et al. Successful treatment of duodenal variceal bleeding by endoscopic clipping. Clin Endosc 2013;46:403-406
4. Sato T. Treatment of ectopic varices with portal hypertension. World J Hepatol 2015;7:1601-1605
5. Kim T, Yang H, Lee CK, Kim GB. Vascular Plug Assisted Retrograde Transvenous Obliteration
(PARTO) for Gastric Varix Bleeding Patients in the Emergent Clinical Setting. Yonsei Med J 2016;57:973-979
Citations
Citations to this article as recorded by
