중심단어
Vena cava, angioplasty, complication, stent
한글 초록
상대정맥 증후군은 상대정맥의 협착이나 폐쇄로 인한 두경부와 상지의 정맥순환 장애에 의해 발생되는 일련의 증상 및 징후를 동반하는 질환이다. 저자들은 상대정맥 증후군의 혈관 내 치료로 풍선확장술 시행 중 상대정맥이 파열된 81세 여자 환자에서 스텐트 설치로 치료를 한 증례를 보고하고자 한다.
영문 초록
Superior vena cava (SVC) syndrome is a medical condition in which the blood flow of the head and the upper extremities is reduced due to stenosis or obstruction in the SVC. Herein, authors report our experience of endovascular stenting for management of SVC rupture during percutaneous venoplasty in an 81-year-old female patient with SVC syndrome.
Introduction
상대정맥 증후군은 폐암이나 림프종이 커지면서 상대정맥을 압박할 때 발생되는 주요 합병증의 하나이다. 양성 협착의 원인으로는 방사선 조사, 인공심장 박동기 삽입, 혈액투석이나 항암치료를 위한 중심정맥 삽관 등이 있다. 상대정맥 증후군의 치료방법으로는 화학요법, 방사선치료, 수술 그리고 스텐트 삽입술이 있다. 본 증례는 상대정맥 증후군 환자에서 혈관 내 치료 후 발생한 상대정맥 파열을 스텐트 설치로 치료한 증례이다.
Case report
증례
81세/여자
임상소견
2002년 비소세포폐암으로 수술 및 항암치료를 받고 경과 관찰 중 연하 곤란과 객혈을 주소로 내원하였다. 흉부 CT와 PET-CT에서 right upper paratracheal area에 임파선 전이를 동반한 종양 재발과 상대정맥의 협착이 관찰되었다. 이에 항암요법과 연하곤란으로 인한 영양공급을 위해 PICC 시술이 의뢰되었다. PICC 시술 후 상지 및 안면 부종이 발생하여 상대정맥증후군으로 진단하에 풍선확장술을 계획하였다
진단명
Superior vena cava syndrome
시술 방법 및 재료
국소 마취를 시행하고 우측 대퇴정맥을 천자하여 0.035 인치 유도 철사 (Terumo, Tokyo, Japan) 와 5F C2 catheter (Cook, Bloomington, IN) 를 이용하여 catheter를 우측 쇄골하정맥에 위치시키고 시행한 정맥조영술에서 상대정맥의 협착을 확인하였다 (Fig. 1). 0.035 인치 유도철사를 따라 직경 10mm, 길이 4cm sized balloon catheter (ATB advance; Cook, Bloomington, IN) 를 삽입하여 상대정맥의 협착부위에 대해 풍선 확장술을 시행하였다 (Fig. 2). 10mm balloon으로 확장 중 waist가 발생하였으며 6 atm 시 waist가 소실되었다 (nominal pressure 5 atm, burst pressure 14 atm). 풍선 확장술 시행 후 시행한 정맥조영술에서 상대정맥에 조영제 유출과 우측 폐에 혈흉이 관찰되었다 (Fig. 3A, B). 이에 즉시 0.035 인치 유도철사를 따라 직경 10mm balloon catheter를 다시 삽입하여 조영제 유출 부위에 대해 balloon tamponade를 시행하였다. Balloon tamponade 후 시행한 정맥 조영술에서 조영제 유출의 양은 감소하였으나 지속적인 조영제 유출이 관찰되어 0.035 인치 유도철사를 따라 직경 14mm, 길이 6cm sized Wallstent (Boston scientific, Natric, MA)를 조영제 유출 부위에 설치하였다. 시술 후 시행한 정맥조영술에서 스텐트를 통한 혈류의 흐름이 원활하고 더 이상 조영제 유출이 되지 않는 것을 확인하였다 (Fig. 4). 혈흉의 치료를 위해 10.2F drainage catheter (Cook) 를 우측 흉강에 설치하였다.
추적관찰
시술 1개월 뒤 시행한 조영증강 CT에서 상대정맥에 설치된 스텐트를 통한 혈류 흐름이 원활하고 혈흉도 호전된 것을 확인하였다.
Fig 1
Right subclavian venogram shows near-total obstruction of superior vena cava with collateral vessels.
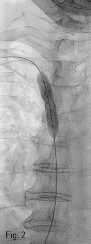
Fig 2
Percutaneous venoplasty was performed with 10mm x 4cm sized balloon catheter.
Fig 3A
(A) Right subclavian venogram shows extravasation of contrast material into right hemithorax.
Fig 3B
(B) A radiograph demonstrates hemothorax in the right pleural space.
Fig 4
Right subclavian venogram after stent placement shows no evidence of contrast media leakage.
고찰
상대정맥 증후군은 상대정맥의 협착이나 폐쇄에 의한 두경부와 양쪽 상지의 정맥순환장애로, 좌위호흡 (orthopnea)과 상지부종이 주 증상이며 심한 경우 호흡곤란, 경련 및 뇌부종에 의한 혼수 등을 동반하는 질환이다. 상대정맥 증후군의 치료방법은 스텐트 삽입, 화학요법, 방사선 치료, 수술 등이 있는데, 풍선확장술과 스텐트 삽입을 병행하면 1주일 내에 증상이 호전되며 재발률이 낮고 스텐트 삽입으로 증상이 호전된 후 바로 화학요법이나 방사선치료를 할 수 있어 일차적 치료법으로 인정된다. 시술의 급성 합병증으로는 상대정맥 파열, 심장압전, 심낭혈종, 폐부종, 급성 혈전형성, 반회신경 압박손상, 스텐트 이동 등이 있으며, 지연기의 합병증으로는 재협착 및 항응고치료와 관련한 출혈이 있다. 그 중 상대정맥 파열은 1.8% 정도에서 발생하며 심폐 소생술, 심낭액 배액 및 수술 관리가 필요한 심폐 기능 이상이 발생할 수 있다. 상대정맥 파열이 발생하였을 경우 혈흉이나 심장 압전이 없으면서 혈역학적으로 안정된 경우 보존적 치료를 시행해 볼 수 있으나 대부분 혈관내 접근이나 수술을 통해 치료하게 된다. 혈관내 치료 방법으로는 우선 풍선으로 혈류를 차단하여 지혈을 시도해 볼 수 있으며, 출혈이 지속되는 경우 스텐트나 피막형 스텐트를 삽입해 볼 수 있다.
참고문헌
1. 대한인터벤션영상의학회. 인터벤션 영상의학 제2판. 2014:470-471
2. Bornak A, Wicky S, Ris HB, et al. Endovascular treatment of stenoses in the superior vena cava syndrome caused by non-tumoral lesions. Eur Radiol 2003;13:950-956
3. Canales JF, Cardenas JC, Dougherty K, et al. Single center experience with percutaneous endovascular repair of superior vena cava syndrome. Catheter Cardiovasc Interv 2011;77:733-739
4. Fagedet D, Thony F, Timsit JF, et al. Endovascular treatment of malignant superior vena cava syndrome: results and predictive factors of clinical efficacy. Cardiovasc Intervent Radiol 2013;36:140-149
5. Chandrasekaran N, Thimmarayappa A, Jagadeesh AM. Case report of fatal complication of superior vena cava tear from balloon dilatation of iatrogenic superior vena cava narrowing. Ann Card Anaesth 2015;18:589-592
Citations
Citations to this article as recorded by
